what is a three level cervical fusion
Clinical Outcomes And Revision Rates Following Four Level Anterior Cervical Discectomy And Fusion Scientific Reports
Comparison Of Anterior And Posterior Approaches For Treatment Of Traumatic Cervical Dislocation Combined With Spinal Cord Injury Minimum 10 Year Follow Up Scientific Reports
Cervical Discectomy And Fusion Affordable Brain Surgery In Mexico Puerto Vallarta
Acdf Anterior Cervical Discectomy And Fusion Lubbock Amarillo Midland Sergiy Nesterenko M D
Cervical Microforaminotomy Versus Anterior Cervical Discectomy And Fusion Sohrab Gollogly Md
Fixation Of Multiple Level Anterior Cervical Disc Using Cages Versus Cages And Plating The Egyptian Journal Of Neurology Psychiatry And Neurosurgery Full Text
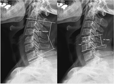
Frontiers Comparative Analysis Of Cage Subsidence In Anterior Cervical Decompression And Fusion Zero Profile Anchored Spacer Roi C Vs Conventional Cage And Plate Construct
Multi Level Cervical Fusion With Significant Risk Of Pseudarthrosis
Jcm Free Full Text Radiological And Clinical Outcome After Multilevel Anterior Cervical Discectomy And Or Corpectomy And Fixation Html
Cureus Five Level Anterior Cervical Discectomy And Fusion
Multilevel Cervical Disc Arthroplasty Long Term Outcomes At 3 And 4 Levels International Journal Of Spine Surgery
Anterior Cervical Discectomy And Fusion With Stand Alone Anchored Cages Versus Posterior Laminectomy And Fusion For Four Level Cervical Spondylotic Myelopathy A Retrospective Study With 2 Year Follow Up Bmc Musculoskeletal Disorders Full Text
Cervical Adjacent Segment Disease Risks And Complications Following Cervical Fusion Caring Medical Florida
Long Term Clinical Outcomes Following 3 And 4 Level Anterior Cervical Discectomy And Fusion In Journal Of Neurosurgery Spine Volume 24 Issue 6 2016 Journals


